Teléfono96 227 73 83
LocalizaciónAlbereda Jaume I, 15 - 9 46800 Xàtiva, Valencia
Síguenos en:
Tratamientos dentales

Casos Clínicos

Clínica Dental Alameda Doctores Baima Clínica Dental Alameda Doctores Baima
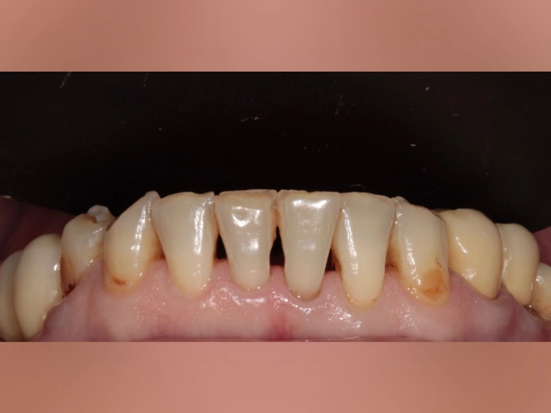
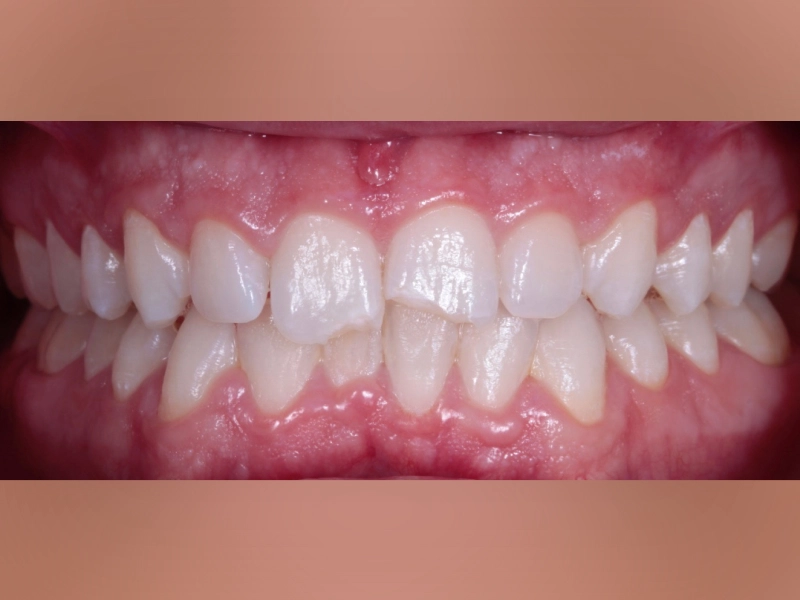
Paciente con apiñamiento dental, facetas de desgaste, ausencias de molares en lado superior derecho y pérdida de dimensión vertical.
Clínica Dental Alameda Doctores Baima Clínica Dental Alameda Doctores Baima
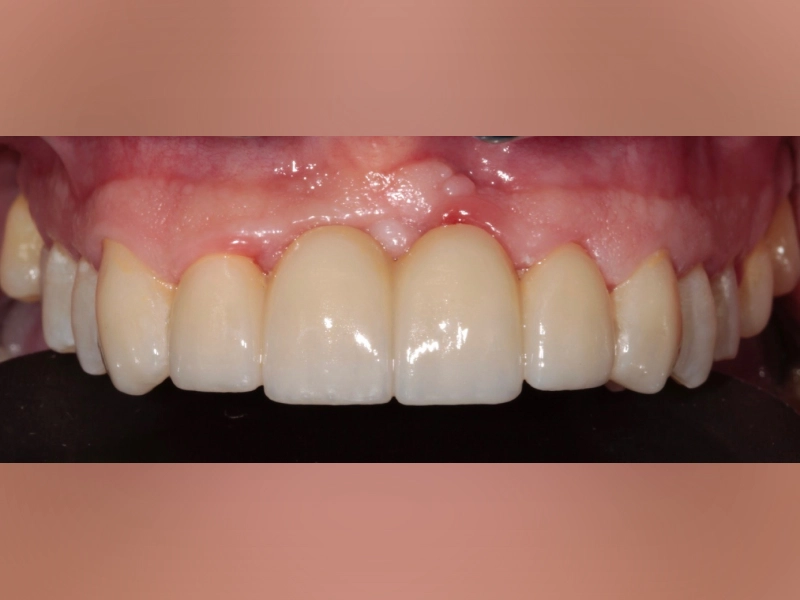
Con un tratamiento de rehabilitación, aumentamos la dimensión vertical con coronas sobre impantes e incrustaciones. Además, colocamos carillas cerámicas en sector anterior para devolver a los dientes su anatomía y mejorar el color y apariencia.
Clínica Dental Alameda Doctores Baima Clínica Dental Alameda Doctores Baima
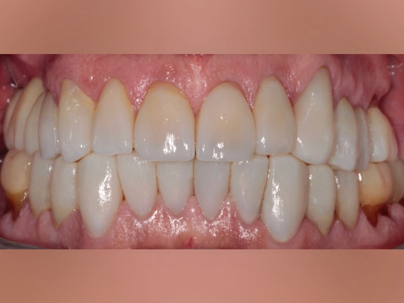
Finalmente, colocamos una férula de descarga para proteger todas las restauraciones.
 
Clínica Dental Alameda Doctores Baima Clínica Dental Alameda Doctores Baima
Paciente con facetas de desgaste y pérdida de dimensión vertical.
Clínica Dental Alameda Doctores Baima Clínica Dental Alameda Doctores Baima
En este caso, hicimos un aumento de la dimensión vertical a costa de la arcada superior, con incrustaciones y carillas cerámicas. Conseguimos mejorar su oclusión, anatomía y color de los dientes, dando un cambio por completo a su sonrisa.
Clínica Dental Alameda Doctores Baima Clínica Dental Alameda Doctores Baima
Realizamos un tratamiento de ortodoncia con técnica multi brackets de autoligado Damon para corregir moderado apiñamiento en arcada superior e inferior.

Al finalizar con la ortodoncia colocamos 6 carillas cerámicas para dar más armonía y mejorar la estética de sus dientes.
Clínica Dental Alameda Doctores Baima Clínica Dental Alameda Doctores Baima
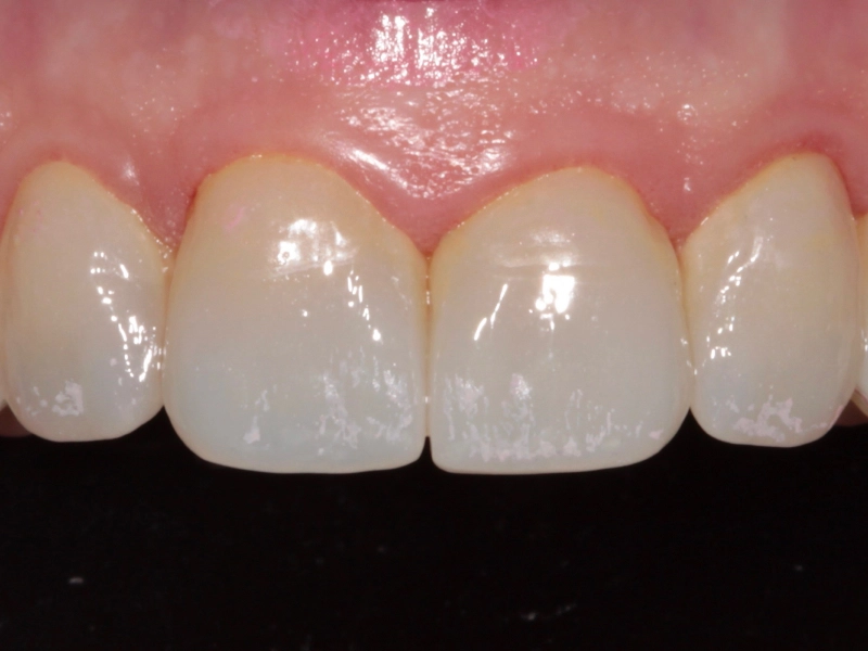
Esta paciente acude a la clínica y nos explica que quiere mejorar la estética de sus dientes inferiores. Colocamos carillas cerámicas para cerrar los espacios negros (troneras), mejorar el color y regularizar bordes incisales.
Clínica Dental Alameda Doctores Baima Clínica Dental Alameda Doctores Baima
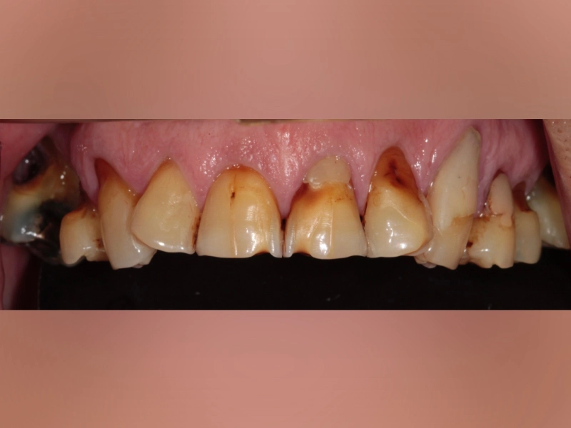
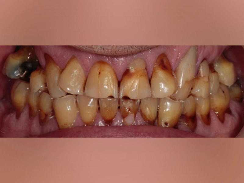
Este paciente acudió a la clínica con un puente antiguo metal-cerámica desajustado, donde sus pilares no se podían mantener por problemas periodontales y de pérdida de estuctura.

En este caso realizamos un blanqueamiento de ambas arcadas. Procedimos a la extracción de estos dientes e hicimos un puente nuevo de circona (cerámica sin metal), mejorando por completo la estética de su sonrisa.
 
Clínica Dental Alameda Doctores Baima Clínica Dental Alameda Doctores Baima
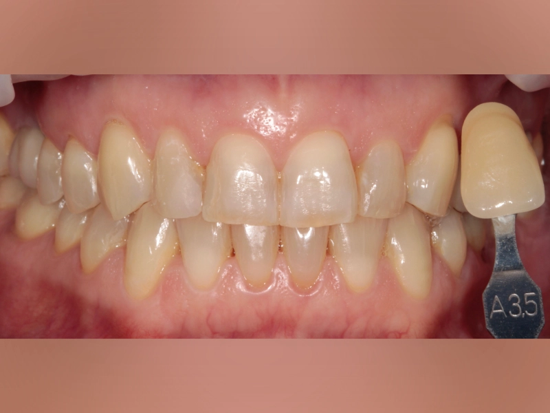
Esta paciente acude a la clínica y nos comenta que quiere aclarar sus dientes. Se los ve muy amarillos, dando un aspecto envejecido.

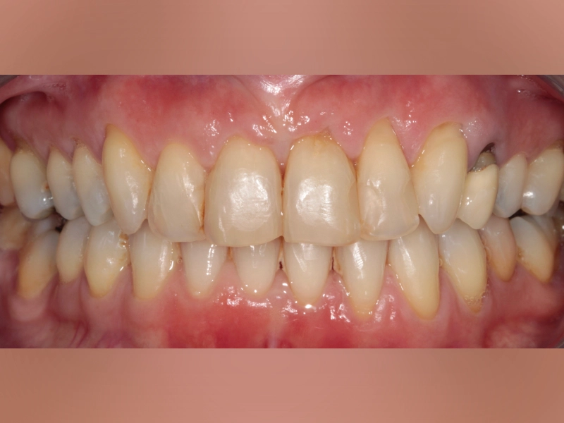
Procedimos a realizar un blanqueamiento de casa, con unas férulas individualizadas para el paciente, y finalmente realizamos una sesión de blanqueamiento en clínica.
Clínica Dental Alameda Doctores Baima Clínica Dental Alameda Doctores Baima
Esta paciente, tras tu tratamiento de ortodoncia invisible con férulas Spark, quería mejorar la estética de sus dientes anteriores.

Hicimos un blanqueamiento de casa con férulas individualizadas, y dos sesiones clínicas de blanqueamiento. Posteriormente colocamos 4 carillas de composite para dar más armonía a sus dientes, y cambiamos una corona metal-cerámica desajustada por una corona completamente cerámica.
Clínica Dental Alameda Doctores Baima Clínica Dental Alameda Doctores Baima
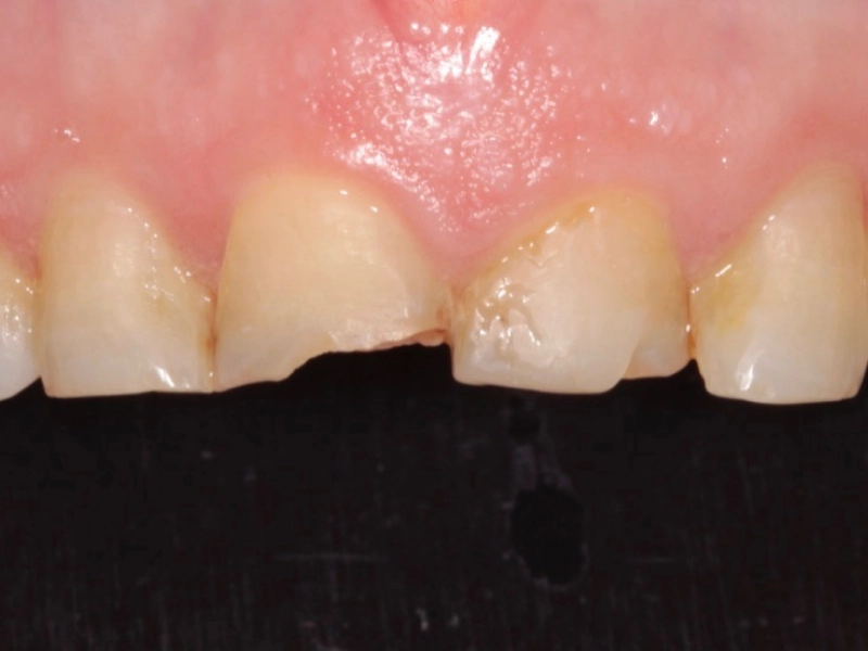
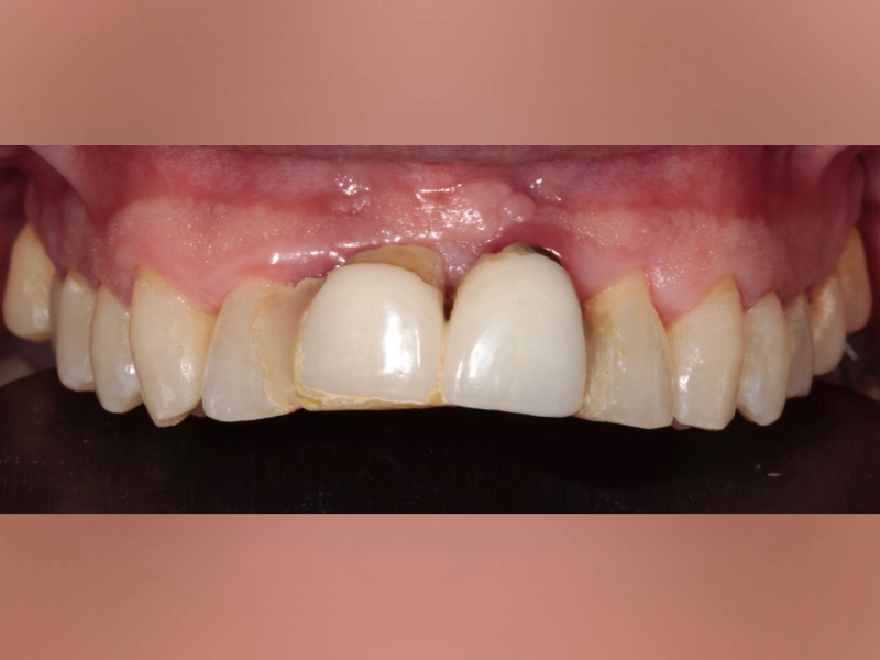
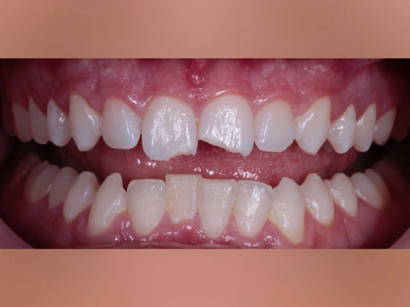
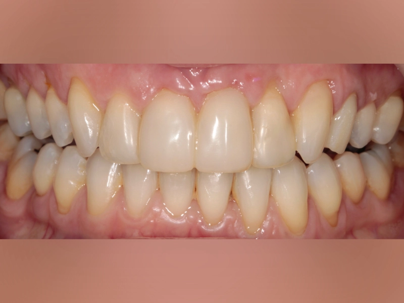
Este paciente acude a nuestra clínica tras haber sufrido un traumatismo en ambos incisivos centrales.
Clínica Dental Alameda Doctores Baima Clínica Dental Alameda Doctores Baima
Tras realizar las Rx y pruebas complementarias para comprobar que no había ninguna afectación periodontal, procedimos a realizar dos reconstucciones estéticas de composite.
Solicitar Cita
WhatsApp
WhatsAppWhatsapp Cerrar
¡Hola!
¿Necesitas concertar una cita? Déjanos tu mensaje y en breve nos pondremos en contacto contigo para hablar de lo que necesitas
x
Centro de preferencia de la privacidad
Cuando visita cualquier sitio web, el mismo podría obtener o guardar información en su navegador, generalmente mediante el uso de cookies. Esta información puede ser acerca de usted, sus preferencias o su dispositivo, y se usa principalmente para que el sitio funcione según lo esperado. Por lo general, la información no lo identifica directamente, pero puede proporcionarle una experiencia web más personalizada. Ya que respetamos su derecho a la privacidad, usted puede escoger no permitirnos usar ciertas cookies. Haga clic en los encabezados de cada categoría para saber más y cambiar nuestras configuraciones predeterminadas. Sin embargo, el bloqueo de algunos tipos de cookies puede afectar su experiencia en el sitio y los servicios que podemos ofrecer.
Más Información Cookies
Gestionar las preferencias de consentimiento
- Cookies técnicas Activas siempre
Son aquellas que permiten al usuario la navegación a través de una página web, plataforma o aplicación y la utilización de las diferentes opciones o servicios que en ella existan como, por ejemplo, controlar el tráfico y la comunicación de datos, identificar la sesión, acceder a partes de acceso restringido, recordar los elementos que integran un pedido, realizar el proceso de compra de un pedido, realizar la solicitud de inscripción o participación en un evento, utilizar elementos de seguridad durante la navegación, almacenar contenidos para la difusión de videos o sonido o compartir contenidos a través de redes sociales.
- Cookies de Google Maps
Cookies de Preferencias de Google: Estas cookies permiten que los sitios web de Google recuerden información que cambia el aspecto o el comportamiento del sitio web como, por ejemplo, el idioma que prefieres o la región en la que te encuentras.
- Cookies de análisis o medición
Son aquellas que permiten al responsable de las mismas, el seguimiento y análisis del comportamiento de los usuarios de los sitios web a los que están vinculadas. La información recogida mediante este tipo de cookies se utiliza en la medición de la actividad de los sitios web, aplicación o plataforma y para la elaboración de perfiles de navegación de los usuarios de dichos sitios, aplicaciones y plataformas, con el fin de introducir mejoras en función del análisis de los datos de uso que hacen los usuarios del servicio.
Rechazar todas Confirmar mis preferencias